
Estética Dental en Zaragoza
¿Piensas que mejorar el estado de tu boca te haría sentir mejor?
Si crees que necesitas ayuda para estar y verte mejor, y sospechas que el estado de tu boca tiene algo que ver… escríbenos.
Ven a vernos y averigua si tu situación bucodental es apta para este tratamiento. Reserva ya tu cita sin compromiso
Porque tener unaboca perfecta tiene mucho más que ver con cuidar tusaludque con seguir una moda
Especialistas en estética dental para crear tu sonrisa perfecta
En cualquiera de nuestros tres centros en Zaragoza y con buena planificación, algunos tratamientos podrás realizarlos en un solo día
Tratamientos de estética dental:
Entendemos que poder conocer cómo encajará el resultado del tratamiento en tu cara, aliviaría tu incertidumbre. Por eso, contamos con:
- Para que puedas conocer cómo encajará el resultado de tu tratamiento dental, en una fotografía de tu cara, antes de realizarlo
- Con un trabajo guiado con “mock-up” podemos, en una previsión analógica, ver cómo va a quedar antes de terminarlo.
- Con el Sistema DSD podemos trabajar sobre un archivo digital en el que hacer los ajustes necesarios.
¿Por qué no pruebas?
Porque el papel de la innovación tecnológica en tus tratamientos de estética integral es clave
Queremos contarte que en CENTRO DENTAL TORRES invertimos en la última aparatología. Porque la precisión, la eficiencia en cada tratamiento y tu comodidad son innegociables.
Si todo esto te interesa, pídenos información sin compromiso.
También te hablaremos sobre tus opciones de financiación
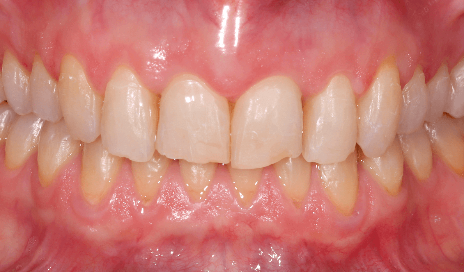
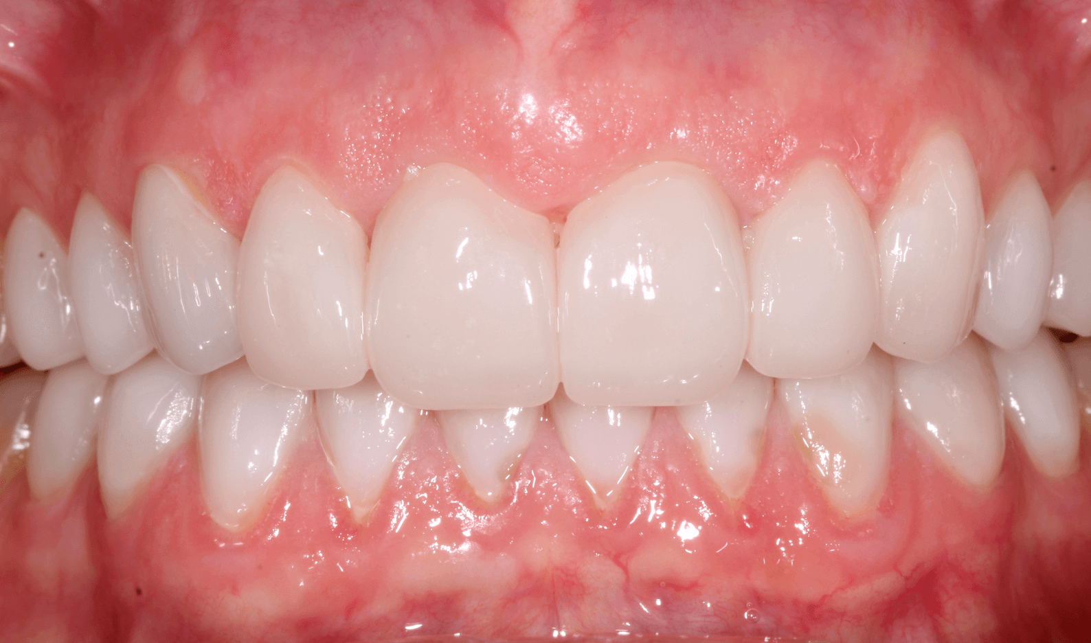
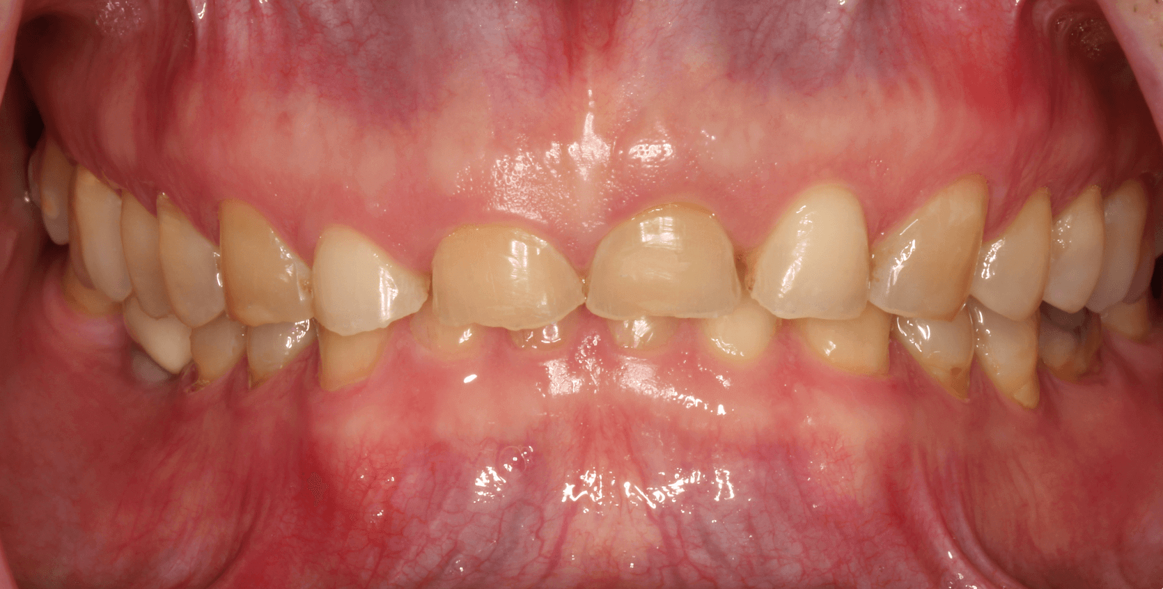
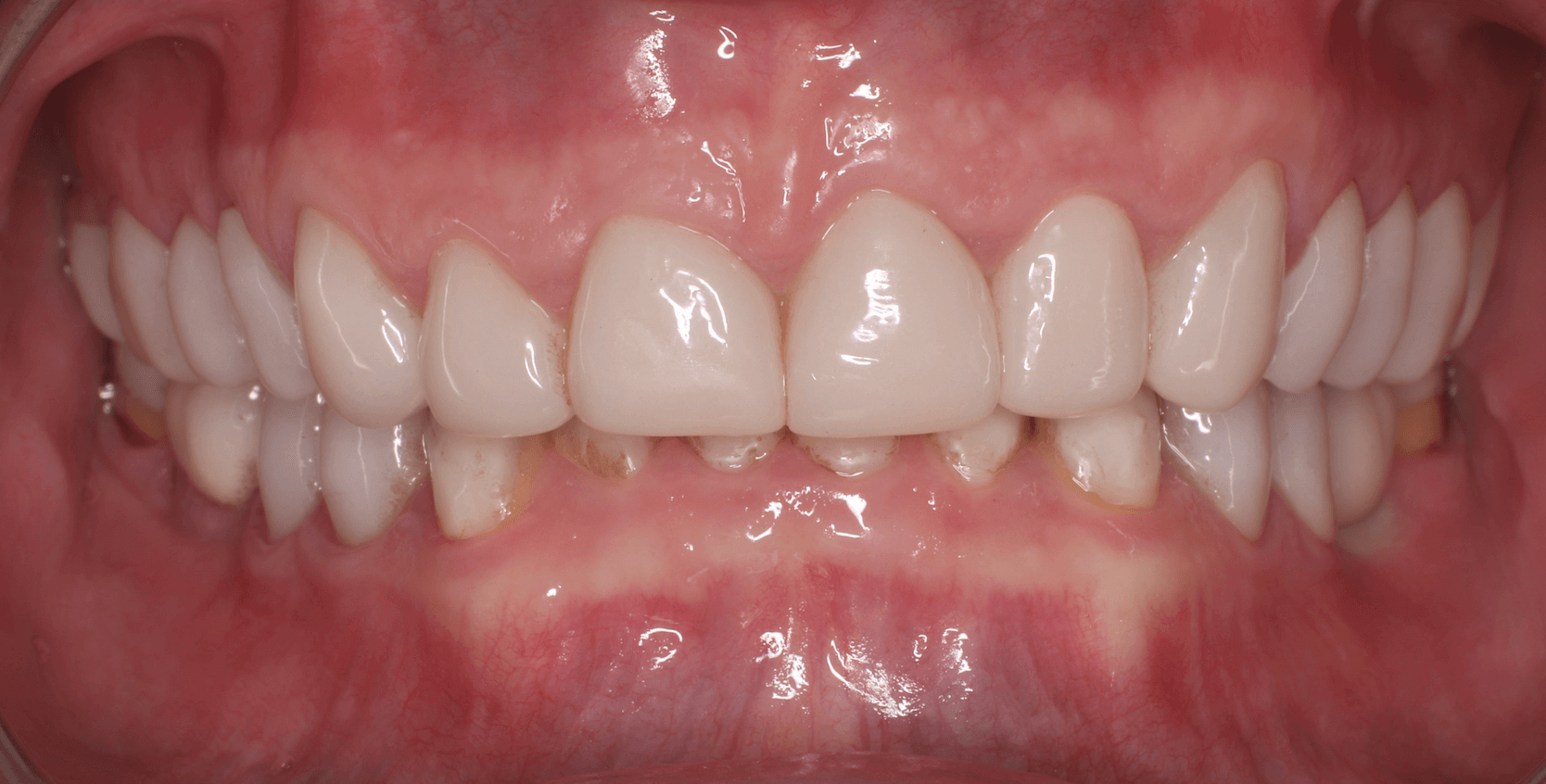
Casos reales
Hay muchas bocas importantes que ya han confiado en CENTRO DENTAL TORRES para sus tratamientos de estética
Casos antes y después de estética dental en nuestra clínica dental de Zaragoza






¿Cómo va a ser tu paso por CDT?
- Primera toma de contacto: Nos cuentas lo que te ocurre y agendamos una cita.
- Tu primera visita en CDT: Te haremos unas pruebas diagnósticas sin ningún coste para conocer el estado de tu salud bucodental.
- El especialista valorará tu caso: Estudiará tu diagnóstico junto al equipo en una sesión clínica.
- Tu plan de tratamiento personalizado: Te lo propondremos para que puedas valorarlo sin compromiso.
Ir al dentista ya no duele